10 октября, четверг | ![]() ![]() ![]() |
![]() | ПОЛИТИКА | ЭКОНОМИКА | ОБЩЕСТВО | ПРОИСШЕСТВИЯ | КУЛЬТУРА | СПОРТ | МЕДИА | В МИРЕ | АВТО | ТЕХНОЛОГИИ | ![]() |
| Фоторепортажи | Видеосюжеты | Комментарии | Погода | Работа | Форум | Карта | Подписка и RSS | Реклама| О газете |
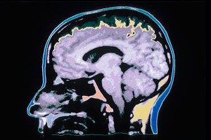
Томские ученые воссоздали мозг человека17 августа 2015, понедельник, 17:45 – БРЯНСК.RU | | Версия для печати Как сообщает официальный сайт Томского государственного университета, проектом занимается международная лаборатория Центра превосходства "Интеллектуальные технические системы". Ученые приблизилась к созданию искусственного интеллекта, способного не только приобретать опыт, но и "забывать" информацию, теряющую актуальность."Сначала были построены математическая и компьютерная модели мозга человека. После этого был сконструирован радиоэлектронный прибор, содержащий перцептроны. Он способен обрабатывать разноплановую информацию (видео, звук и т.д.). Сейчас идет работа по созданию основной системы робототехнического комплекса, который представляет собой интеллектуальный центр управления", – рассказал руководитель лаборатории профессор Владимир Сырямкин. Как уверяют ученые, данная физическая модель способна к самообучению и накоплению жизненного опыта. Искусственный носитель естественного интеллекта воспринимает внешние раздражители, такие как свет и звук. Методом проб и ошибок он пытается найти решение, которое поможет избежать влияния этого раздражителя. Например, при воздействии яркого источника света он сначала попытается отвернуться, если это не помогает, то отодвинуться от него. До тех пор, пока мозг не отыщет правильное решение, его нейроны (перцептроны) будут находиться в возбужденном состоянии. Когда искусственный разум это решение найдет, он его запомнит и станет использовать в сходных жизненных ситуациях. "В конечном варианте мы хотим достичь максимальной приближенности искусственного разума к биологической модели головного мозга, – подчеркнул профессор Сырямкин. – Поэтому в скором времени в наш проект вольются специалисты из других областей – биологи и психологи. Ведь искусственный интеллект должен не только уметь самостоятельно мыслить, но и различать, что такое хорошо и что такое плохо с точки зрения этики". По словам исследователей, возможности использования созданного ими искусственного интеллекта практически безграничны. Однако основной упор будет сделан на поиск методов лечения болезней, связанных с нарушением нейронных связей в мозге, различных видов амнезий, а также болезней Альцгеймера и Паркинсона. С помощью искусственной модели ученые смогут тестировать способы лечения. Источник:
|
![]() | ПОЛИТИКА | ЭКОНОМИКА | ОБЩЕСТВО | ПРОИСШЕСТВИЯ | КУЛЬТУРА | СПОРТ | МЕДИА | В МИРЕ | АВТО | ТЕХНОЛОГИИ | ![]() |
| Фоторепортажи | Видеосюжеты | Комментарии | Погода | Работа | Форум | Карта | Подписка и RSS | Реклама| О газете |
| Размещение рекламы в газете БРЯНСК.RU: Прайс-лист, тел. (4832) 37-19-38, почта info@briansk.ru Для информационных писем в редакцию: news@briansk.ru | ![]() | ![]() | ||
| 2005–2015 © Ежедневная интернет-газета БРЯНСК.RU При цитировании активная ссылка на БРЯНСК.RU обязательна Материалы газеты могут содержать информацию 18+ | ![]() | Открыв данный сайт, Вы соглашаетесь с Правилами cайта (договор-оферта). Если вы не согласны с Правилами, немедленно покиньте сайт! | ![]() |








Cryptorussia.ru: ваш путеводитель в мир трейдинга
Мир азартных игр: как выбрать надежную площадку?
Легкая одежда: комфорт, стиль и доступность
Игра удачи: Светлая и темная сторона азартных игр
SMS-реклама — эффективный инструмент для бизнеса
Король футбола подал в суд на Samsung
"Горячий юпитер" поразил ученых (видео)
Рождение детей обойдется без секса







ПОПУЛЯРНЫЕ МАТЕРИАЛЫ










